TOP 診断内容 費用について スタッフ紹介 アクセス
美しい歯から生まれる自然に輝く笑顔のために
 
診断内容
一般治療
無痛治療
インプラント
審美歯科
矯正歯科
ホワイトニング
クリーニング
おしゃれ入れ歯
INFORMATION
デンターネット 歯科医院クチコミランキング
 
矯正歯科について
矯正歯科により歯並びを治すことは、精神的にもとても有意義です。
今まで歯並びが気になって大きなお口で笑えなかった方は、歯並びを治すことで笑顔に自信がつきます。
また歯並びがよいと歯磨きがしやすくなり、虫歯や歯周病予防にもなります。
当クリニックではクリアセラミックブラケットを使用いたしますので、矯正している間もあまり気にならず生活していただけます。
ご相談の際に矯正の流れと費用等ご説明いたします。ご相談は無料です。お気軽にご相談ください。

不正咬合のいろいろ
乱ぐい歯・八重歯(叢生)
あごが小さかったり、あごに対して歯の幅が大きい場合に起こります。
歯の生える場所が足りないので、凹凸に生えたり、重なりあって生えています。


すき歯(空隙歯列弓)
あごが大きかったり、歯の幅が小さい場合に起こります。
歯の間が開いていて、歯列にすき間ができています。


出っ歯(上顎前突)
上の前歯や歯列全体が前に突き出ている状態をいいます。


受け口・反対咬合(下顎前突)
下の前歯が上の前歯より前にでています。

インビザライン矯正(マウスピース矯正)

装着していても周囲から気づかれにくい、マウスピース型の矯正装置「アライナー」を使って
歯並びを矯正する治療法です。カスタマイズされたアライナーを約1~2週間ごとに交換しながら
装着することで、きれいな歯並びへと変化を遂げていきます。少しづつ歯が移動するにつれて、
理想的な笑顔へと近づいていくことでしょう。
名駅メデントクリニック インビザライン認定医 古川 朋樹
インビザラインシステムのメリット
・目立たない
インビザライン・アライナーは透明に近く目立たないため、装着していることがほとんど
わからず、見た目によるストレスを感じさせません。
・取り外しができて衛生的
食事や歯みがきの時はアライナーを取り外すことができるため、普段どおりに歯の
お手入れができ、口腔衛生を健康な状態に保つことができます。
インビザライン矯正治療の流れ
1.カウンセリング
患者さまの歯並びのお悩みや治療に関する疑問を歯科医師がヒアリングします。
そして、歯科医師からマウスピース矯正の治療内容やメリット・デメリット、費用などの説明を受けます。
ポイントは、疑問や不安があれば、どんな小さなことでも質問すること!
治療前の不安が解消されないまま治療が進むと、後々トラブルにつながることもあります。

2.精密検査

マウスピース矯正による治療を希望される場合は、精密検査に進みます。
精密検査では、口腔内検査のほかにレントゲン撮影、顔や口の中の写真撮影を行ないます。
そして、矯正装置(アライナー)を作るために歯の型採りをします。

3.治療計画のご説明
精密検査の結果をもとに歯科医師が治療計画を立て、患者さまにその内容と治療期間、費用についてご説明をします。
こちらも、納得がいくまで説明をしてもらうことが大切です。
患者さまが治療計画と費用についてしっかり納得したら、治療の契約として治療がスタートします。

4.矯正治療スタート!

患者さま専用に作製された矯正装置(アライナー)を装着します。
取り外しが可能なアライナーの着脱方法やお手入れ方法、注意事項などを歯科医師が患者さまに説明します。
アライナーは、装置の種類によって違いますが、1日に装着する時間が決まっています。
指定された時間装着しながら、治療の段階に合わせて新しいものにつけ替えていきます。

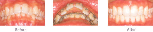
インビザライン矯正治療例


インビザライン矯正治療費
インビザライン矯正料金・・・・・60万円~
アクアシステム(プチ矯正)


アクアシステムは、従来の矯正治療で患者さまが感じていたデメリットのほとんどを
解消した夢のような新しい矯正治療です。目立たない・自由に取り外し可能という
特長があるので、治療中でもずっと笑顔でいられます。
プチ矯正・アクアシステムの適応性
アクアシステムだけで治療できる症例は簡単な不正咬合です。重なり合った歯がでこぼこの隙間のない歯列で、
その程度が軽度なものが適応です。また、通院間隔は、通常4~6週に一度だったものが、
アクアシステムなら患者さんの希望や症状により、数ヶ月に1度の通院で済む場合もあります。
(ただし、この場合は患者さんの理解と協力が必要です。)
名駅メデントクリニック アクアシステム認定医 若林 克

アクアシステム矯正治療費
治療に入る前のカウンセリングの際に、一人ひとりの患者さんの症例にあわせ、担当医師が治療計画を作成。
おおよその治療金額を提示いたします。

片あご・・・・・22万円~
両あご・・・・・33万円~